Eddy der Belgier
Themenstarter
Ich könnte hier meine 40-jährige Fahrpraxis wiedergeben, aber bitte sparen ich Sie sich diese Seiten.
Am 25.4. fahren wir über Malmedy Richtung Luxemburg, kommen an einen Kreisverkehr und müssen die erste Ausfahrt nehmen, bis dahin sehr gut. Ich fuhr als Zweiter von Fünfter und hörte ein Geräusch hinter mir, dachte, jemand hätte einen Krach mit einem Auto im Kreisverkehr. Ich drehte mich um und es war vorbei, aber Ich habe nicht gesehen, dass die Straße 90° nach links abbiegt, also mit 20 km/h gegen einen hohen Bordstein. Auf dem Boden liegend, unter der GS, schaffte ich es, sie ein wenig von mir wegzudrehen, denn die anderen waren schon da, um sie zurechtzurücken. Erste Frage: Was ist mit der GS los? Nur Kratzer, also sage ich, warte 10 Minuten, dann gehen wir wieder, nö!
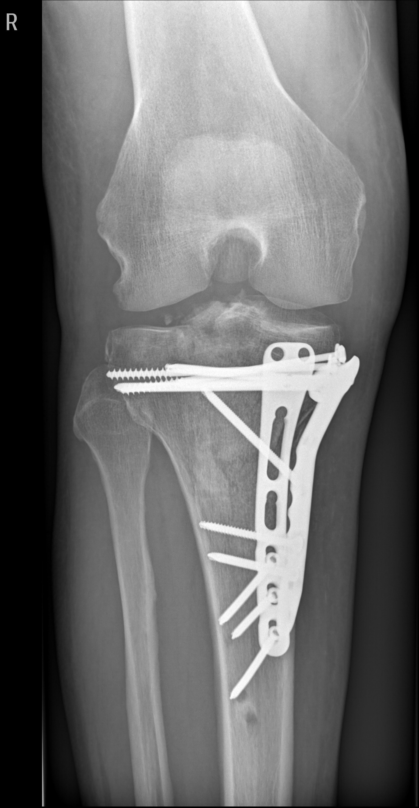
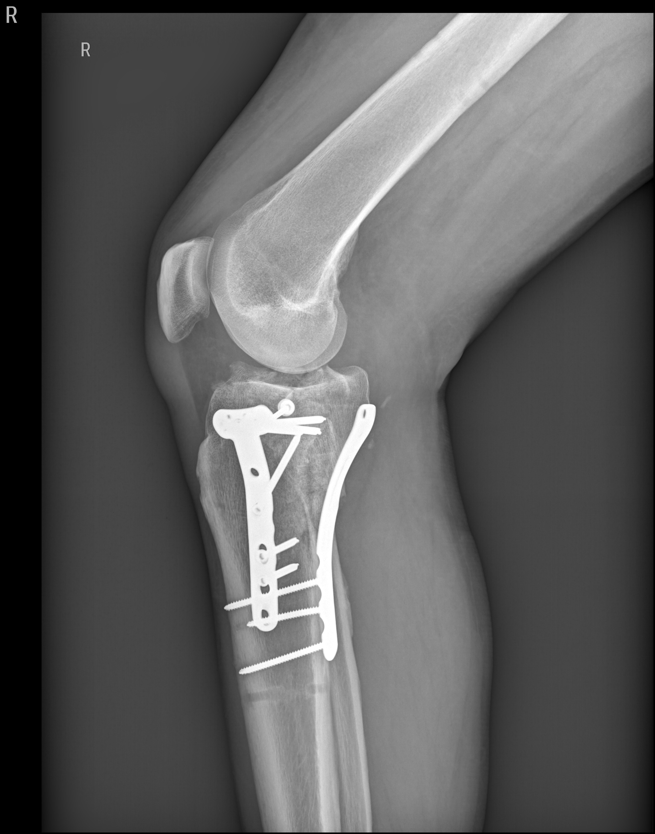
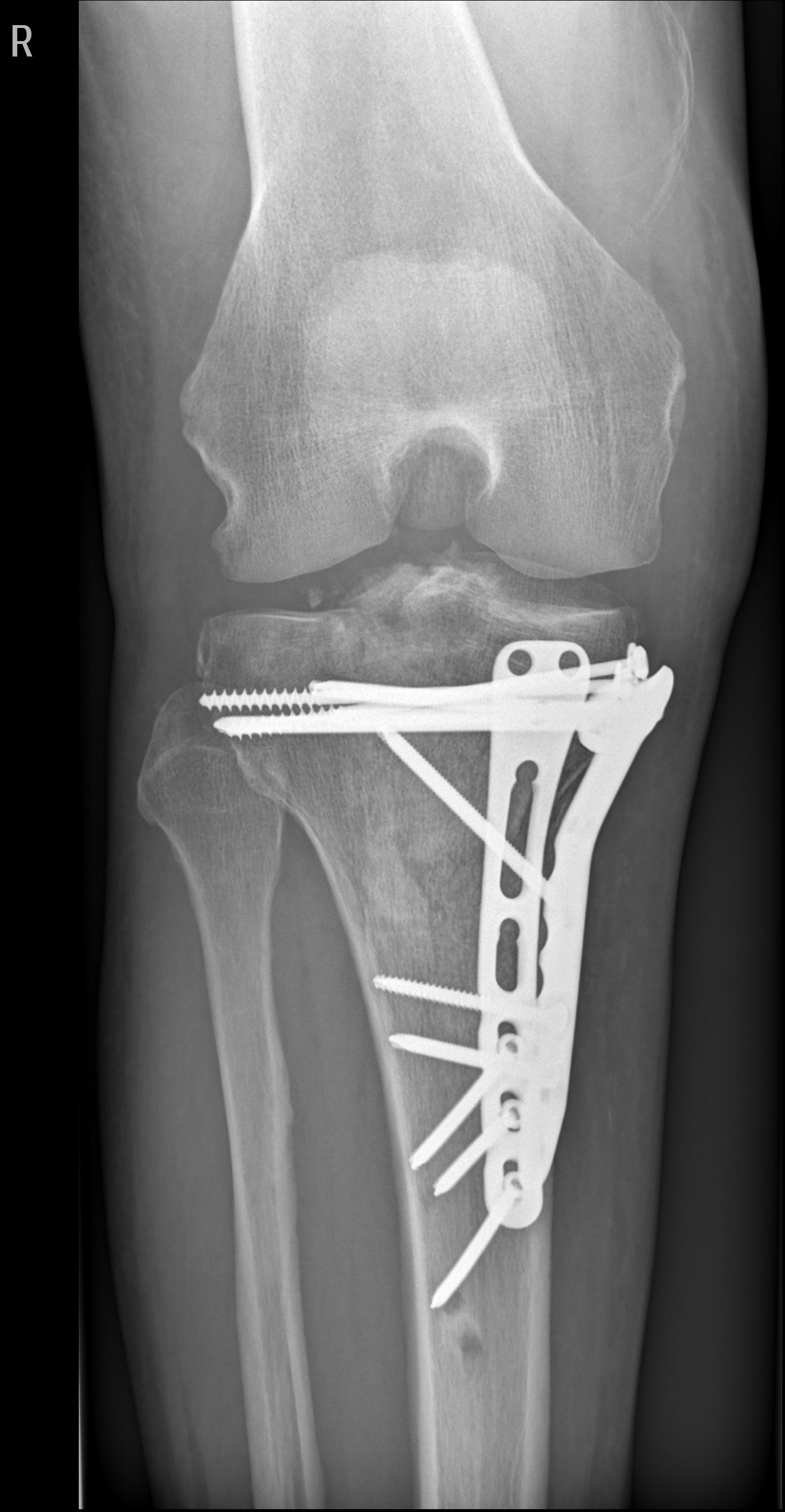
Lange Rede, kurzer Sinn, Schienbein rechts innen durch den Zylinder zerschmettert!
Erstes O.P. Externer Fixateur,

Zweiter O.P.-Bissjen titanium.


Ich habe eine ziemlich lange Rehabilitation vor mir, im Moment darf ich mich nur ein wenig auf dem Fuß stützen, natürlich mit zwei Krücken, dann auch laufen lernen. Ich hoffe, dass ich Ende September eine längere Fahrt machen kann, um die Sitzposition des neuen XR zu testen. Ich habe bereits das alte Modell getestet und die Nachteile haben sich deutlich verbessert, danke an das forum. Laut dem Chirurgen werde ich froh sein, wenn ich stark genug bin, um irgendwo im März/April zu testen, falls etwas während der Fahrt schief gehen sollte und ich gezwungen bin, das motor rechts zu stützen, also viel Physiotherapie und Übungen zu Hause und einfach abwarten.
Warum der XR, weil ich ein bisschen Angst vor diesen Zylindern habe, sie können einen Vorteil, aber auch einen schweren Nachteil bringen. Jetzt möchte ich nur noch meinen Spitznamen in Eddy der Belgier ändern.
Wünsche allen eine gute und sichere Fahrt und immer nach vorne zehen ;-).
Ich hoffe, die Bilder sind nicht zu gruselig, ansonsten bitte anpassen.
Am 25.4. fahren wir über Malmedy Richtung Luxemburg, kommen an einen Kreisverkehr und müssen die erste Ausfahrt nehmen, bis dahin sehr gut. Ich fuhr als Zweiter von Fünfter und hörte ein Geräusch hinter mir, dachte, jemand hätte einen Krach mit einem Auto im Kreisverkehr. Ich drehte mich um und es war vorbei, aber Ich habe nicht gesehen, dass die Straße 90° nach links abbiegt, also mit 20 km/h gegen einen hohen Bordstein. Auf dem Boden liegend, unter der GS, schaffte ich es, sie ein wenig von mir wegzudrehen, denn die anderen waren schon da, um sie zurechtzurücken. Erste Frage: Was ist mit der GS los? Nur Kratzer, also sage ich, warte 10 Minuten, dann gehen wir wieder, nö!
Lange Rede, kurzer Sinn, Schienbein rechts innen durch den Zylinder zerschmettert!
Erstes O.P. Externer Fixateur,

Zweiter O.P.-Bissjen titanium.


Ich habe eine ziemlich lange Rehabilitation vor mir, im Moment darf ich mich nur ein wenig auf dem Fuß stützen, natürlich mit zwei Krücken, dann auch laufen lernen. Ich hoffe, dass ich Ende September eine längere Fahrt machen kann, um die Sitzposition des neuen XR zu testen. Ich habe bereits das alte Modell getestet und die Nachteile haben sich deutlich verbessert, danke an das forum. Laut dem Chirurgen werde ich froh sein, wenn ich stark genug bin, um irgendwo im März/April zu testen, falls etwas während der Fahrt schief gehen sollte und ich gezwungen bin, das motor rechts zu stützen, also viel Physiotherapie und Übungen zu Hause und einfach abwarten.
Warum der XR, weil ich ein bisschen Angst vor diesen Zylindern habe, sie können einen Vorteil, aber auch einen schweren Nachteil bringen. Jetzt möchte ich nur noch meinen Spitznamen in Eddy der Belgier ändern.
Wünsche allen eine gute und sichere Fahrt und immer nach vorne zehen ;-).
Ich hoffe, die Bilder sind nicht zu gruselig, ansonsten bitte anpassen.







