Q
QVIENNA
Schaut sauber und manierlich aus (sagt meine Frau). Gute Besserung und nicht nachlassen bei Reha und Physio!




Warum der XR, weil ich ein bisschen Angst vor diesen Zylindern habe, sie können einen Vorteil, aber auch einen schweren Nachteil bringen.
da bin ich bei Ralsch,Klingt wirklich übel.
In der Regel sind die weit abstehenden Zylinder top um die Füße und Unterschenkel zu schützen. Fallen die Zylinder aber direkt drauf - dann gute Nacht.
Gute Besserung, wird wieder.






Und wann sitzt Du auf?Es ist dasselbe wie beim Kennenlernen einer Frau, man baut es ganz leise auf, also erst mal mit der Frau ins Kino gehen, schauen, ob sie 10 Minuten lang den Mund halten kann (also eine Runde um die Kirche mit den Gs). Dann mit der Frau im Restaurant, schauen, ob sie Manieren hat (den Gs auf Herz und Nieren prüfen) und dann weiß ich nicht, ich habe keine Erfahrung auf diesem Gebiet.![]()
![]()



Der erste Schritt zum Cyborg ist getan.Ich hoffe, dass ich im April wieder fit bin für ......

Vor Gewitter in acht nehmen...Ich hoffe, dass ich im April wieder fit bin für ......
Was ist denn da passiert??Ich hoffe, dass ich im April wieder fit bin für ......

Kleiner Unfall, große Folgen!Was ist denn da passiert??
Gute Besserung Dir

Ein anderer User nannte sowas "enhanced" ......Der erste Schritt zum Cyborg ist getan.

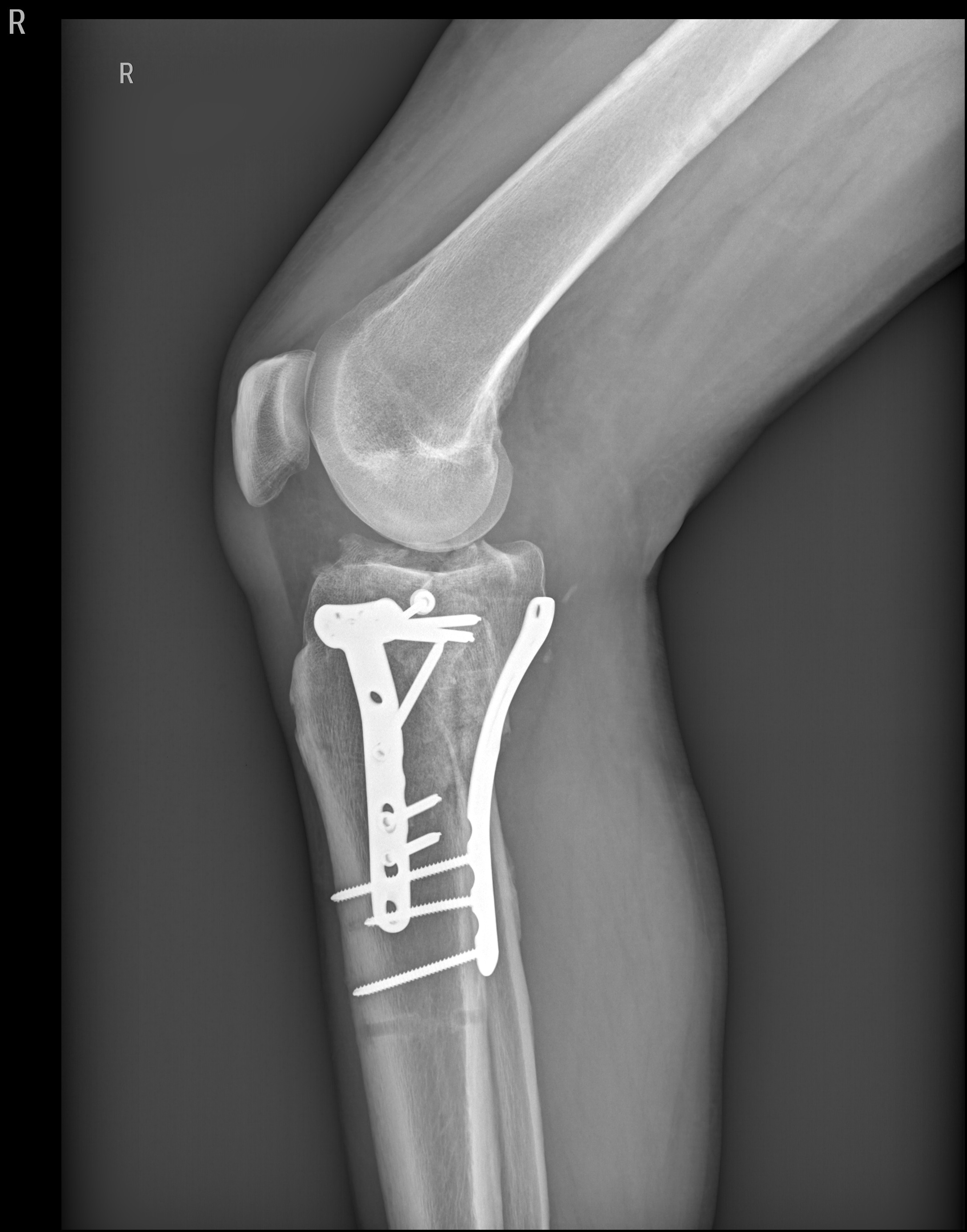
Das ist genau das große Problem, Kniegelenk ist zertrümmert, auch die Kreuzbänder, Kapsel und alles drumherum, ist schwer verletzt, hoffentlich kann ich es genug dehnen um weiter zu falten, jetzt bin ich nur bei 114° unter extremer Spannung, locker bin ich bei 104°, und übe schon vom 3-7-21, 3/Woche Fisio und den Rest 3 mal/Tag Hausübungen, hoffe bis April wieder fit zu sein um zu fahren... und Gute Nacht
hast Du mit dem Arzt mal über die Möglichkeit einer CPM Bewegungsschiene geredet? Heißt Constant Passiv Motion und bewegt das Gelenk passiv. Mir hat das mal sehr geholfen, zumindest gehe ich wegen des deutlich gegenüber der Prognose gesteigerten Bewegungsumfangs davon aus. Zudem sehr gute manuelle Therapie mit Extensionen etc. vom Physioübe schon vom 3-7-21, 3/Woche Fisio und den Rest 3 mal/Tag Hausübungen,