Kleiner Unfall, große Folgen!

Diskutiere Kleiner Unfall, große Folgen! im Motorrad allgemein Forum im Bereich Community; Wenn ich lösen darf? Die Stangen Aussen - Fixateur extern - fixieren die Fraktur vor bzw. bis zur eigentlichen OP, Schwellung muss runter usw. Die...
*Topas*

*Topas*

Dabei seit
04.01.2009
Beiträge
33.600
Ort
🇨🇭 Schweiz /🐻lin / 🇪🇺 Europa
Modell
GSA 1200 / 2011
Gute Besserung Eddy :rolleyes:

…… wozu sind die seltsamen Stangen im Bein gut?
Wenn ich lösen darf?
Die Stangen Aussen - Fixateur extern - fixieren die Fraktur vor bzw. bis zur eigentlichen OP, Schwellung muss runter usw.
Die Schrauben / Plattenosthesynthese fixiert die Fraktur von Innen.
Manches Material entfernt man nach bis zu einem Jahr, manches bleibt dauerhaft drin. Je nach Befund.
 
HP9000

HP9000

Dabei seit
02.10.2020
Beiträge
3.976
Ort
Unterreichenbach (Nordschwarzwald)
Modell
R1250GS (2020); RnineT (2015); Suzuki DR250S (1986)
Und wenn der behandelnde Chirurg einen spaßigen Tag hat, dann schnippt er bei der Visite kurz mit einem Finger gegen eine der Schrauben des Fixateur extern, die in den Knochen gedreht sind ...
 
juekl

juekl

Dabei seit
01.09.2007
Beiträge
12.149
Ort
Essen NRW
Modell
R100GSPD, R1100GS, R1150GS, R1150GSA, R1200GS TB, R1200GS LC TB und wieder R1200GS TÜ
Kollege 1200LC im Stand umgefallen (aufm Köterberg) , Knie kaputt, 1/2 Jahr nicht arbeiten
 
Pepepower

Pepepower

Dabei seit
14.05.2021
Beiträge
68
Ort
Freigericht
Modell
R1100GS
Hallo Eddy,

so etwas geht schneller als man denkt.
Ich wünsche dir eine gute Genesung und das du schnell wieder fit wirst.
Ich habe etwas Ähnliches nach einem Fahrradunfall durchmachen müssen, von daher rate ich dir die Regeneration nicht zu unterschätzen.
Du brauchst auf jeden Fall einen fähigen Physiotherapeuten und fange schnell mit der Therapie an.


Gruß Peter
 
lomax

lomax

Dabei seit
19.11.2013
Beiträge
2.749
Ort
Limburg
Modell
R 1250 GS Rallye, Duc 900 SD, GSX 1200, Rocket 3R, Honda CRF 250 L, Suzuki DR 350 S
Da sieht nicht schön aus Eddy, aber das wird wieder. Einen Fixateur (dann Tibianagel) hatte ich auch schon im rechten Bein - mir war ein Rentner von rechts (ich war auf der Vorfahrtstrasse) ins Bein gefahren. Das war aber noch auf einer GSX 1200, danach kam dann GS bei mir (aktuell die dritte).

Gute Besserung - Kopf hoch!

Gruß aus Limburg

lomax
 
sneaky_p

sneaky_p

Dabei seit
18.07.2015
Beiträge
1.533
Ort
Braunschweich
Modell
R1250GS 40 Jahre Edition
Ehrlich gesagt frage ich mich, was solche Beiträge hier eigentlich zu suchen haben.
 
Eddy der Belgier

Eddy der Belgier

Themenstarter
Dabei seit
09.10.2017
Beiträge
4.183
Ort
Belgien
Hallo Eddy,

so etwas geht schneller als man denkt.
Ich wünsche dir eine gute Genesung und das du schnell wieder fit wirst.
Ich habe etwas Ähnliches nach einem Fahrradunfall durchmachen müssen, von daher rate ich dir die Regeneration nicht zu unterschätzen.
Du brauchst auf jeden Fall einen fähigen Physiotherapeuten und fange schnell mit der Therapie an.


Gruß Peter
Ich denke wir nennen das Kinesist, Ich habe jetzt, 60 Mal
 
Steppenwolf1967

Steppenwolf1967

Dabei seit
11.11.2017
Beiträge
867
Ort
seit 2010 Weimar
Modell
R 100GS PD Bj 1993, Milka Lila-Weiß; R 1200 GSA Bj 2011, Schwarz-Gelb
Shit happens. Ich bin im April 2018 bei einen Sicherheitstraining im Stand umgefallen, Ergebnis Oberschenkelhalsbruch mit allem was dazugehört. Im August konnte ich wieder fahren, auch wenn
das Bein noch ziemlich schwach war.18 Monate später kam das verbaute Material wieder raus.

Also Kopf hoch, gute Besserung!
 
Ralsch

Ralsch

Dabei seit
12.05.2017
Beiträge
5.567
Ort
In der Nähe von Darmstadt
Modell
Vorher R1200GS, aktuell BMW S1000RR, Kawa Z1000SX, KTM 690 SM
Klingt wirklich übel.
In der Regel sind die weit abstehenden Zylinder top um die Füße und Unterschenkel zu schützen. Fallen die Zylinder aber direkt drauf - dann gute Nacht.
Gute Besserung, wird wieder.
 
G

Gast 16234

Gast
Ich könnte hier meine 40-jährige Fahrpraxis wiedergeben, aber bitte sparen ich Sie sich diese Seiten.

Am 25.4. fahren wir über Malmedy Richtung Luxemburg, kommen an einen Kreisverkehr und müssen die erste Ausfahrt nehmen, bis dahin sehr gut. Ich fuhr als Zweiter von Fünfter und hörte ein Geräusch hinter mir, dachte, jemand hätte einen Krach mit einem Auto im Kreisverkehr. Ich drehte mich um und es war vorbei, aber Ich habe nicht gesehen, dass die Straße 90° nach links abbiegt, also mit 20 km/h gegen einen hohen Bordstein. Auf dem Boden liegend, unter der GS, schaffte ich es, sie ein wenig von mir wegzudrehen, denn die anderen waren schon da, um sie zurechtzurücken. Erste Frage: Was ist mit der GS los? Nur Kratzer, also sage ich, warte 10 Minuten, dann gehen wir wieder, nö!

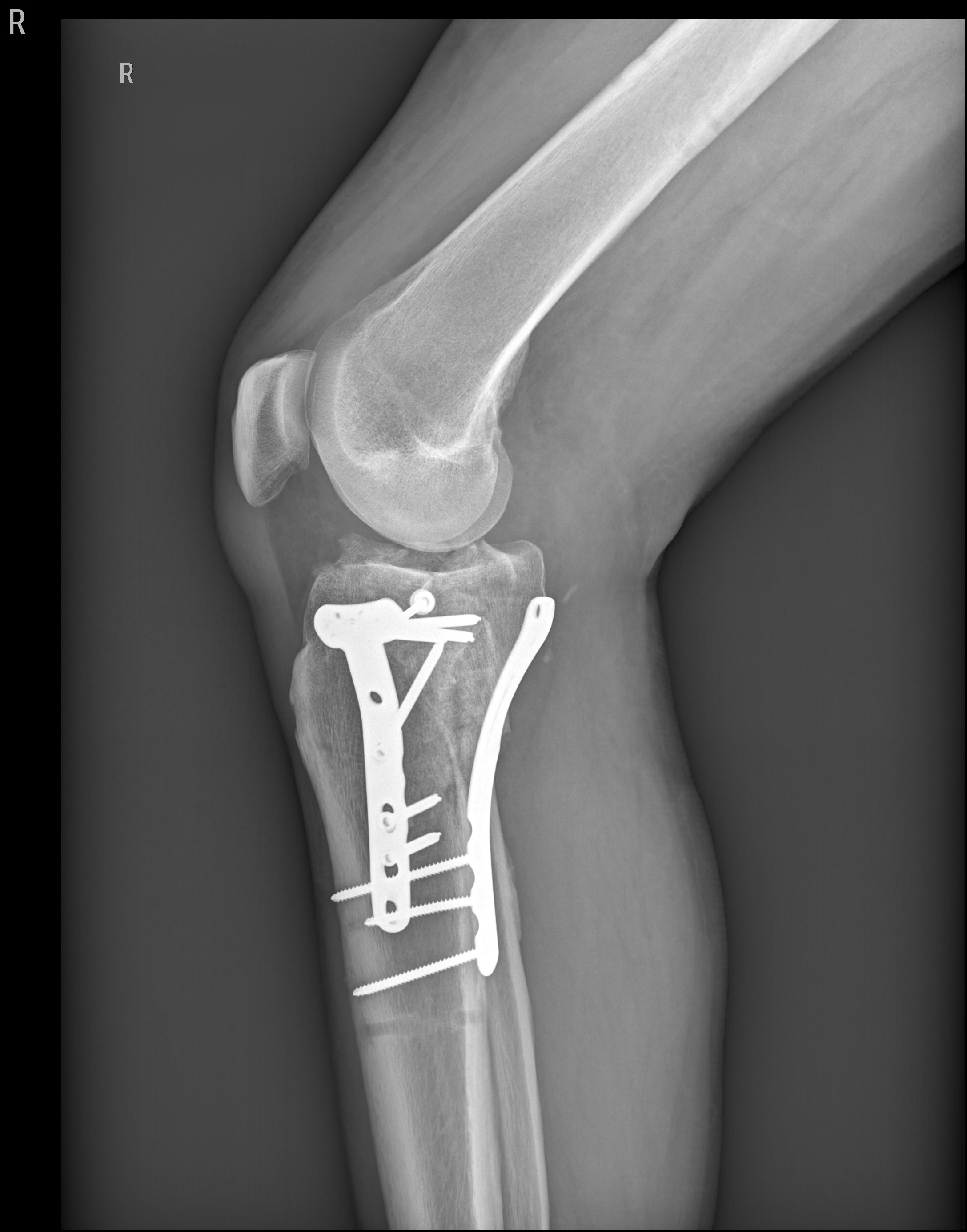
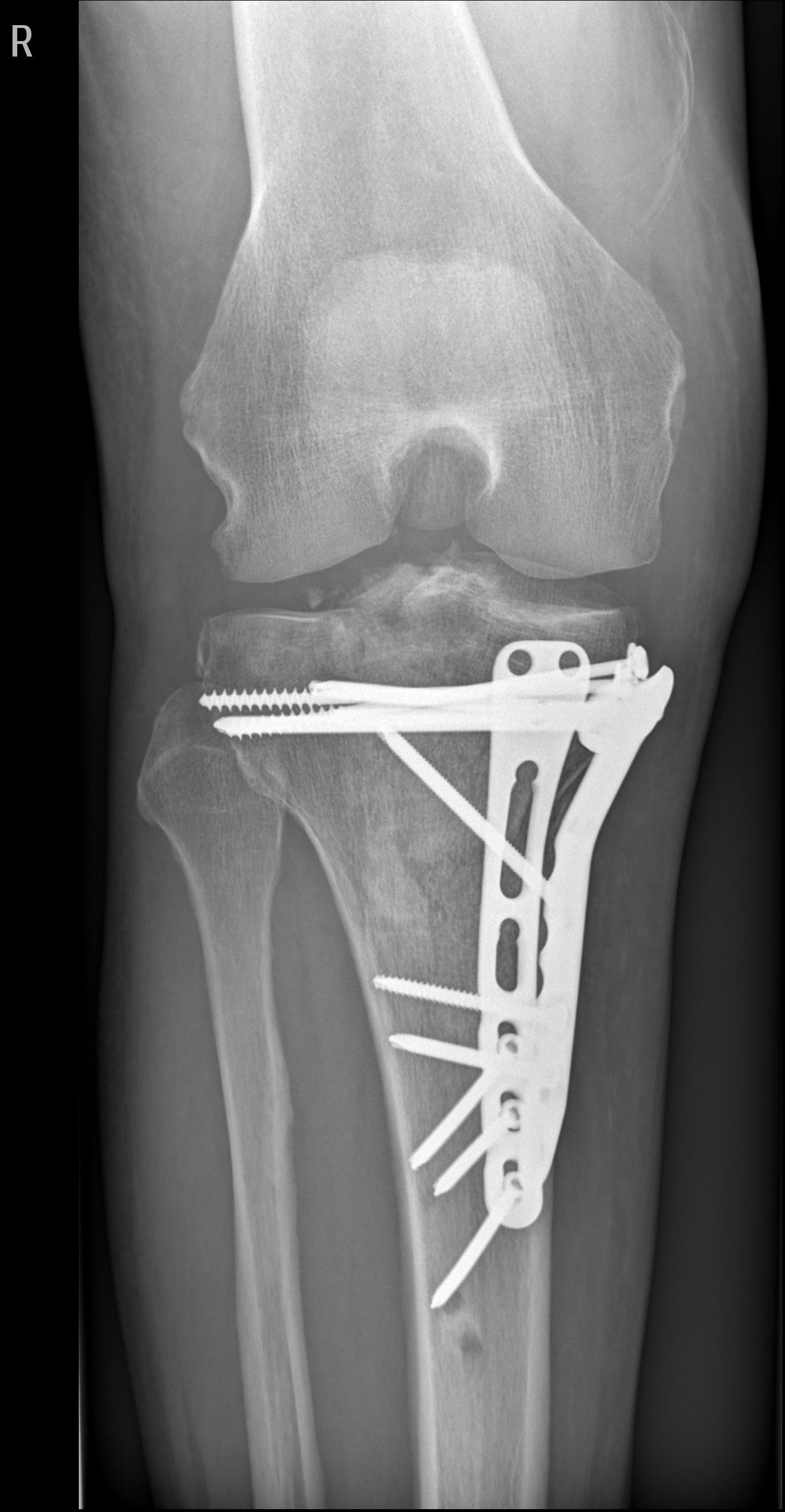
Lange Rede, kurzer Sinn, Schienbein rechts innen durch den Zylinder zerschmettert!

Erstes O.P. Externer Fixateur,
Anhang anzeigen 427375

Zweiter O.P.-Bissjen titanium.
Anhang anzeigen 427376
Anhang anzeigen 427377

Ich habe eine ziemlich lange Rehabilitation vor mir, im Moment darf ich mich nur ein wenig auf dem Fuß stützen, natürlich mit zwei Krücken, dann auch laufen lernen. Ich hoffe, dass ich Ende September eine längere Fahrt machen kann, um die Sitzposition des neuen XR zu testen. Ich habe bereits das alte Modell getestet und die Nachteile haben sich deutlich verbessert, danke an das forum. Laut dem Chirurgen werde ich froh sein, wenn ich stark genug bin, um irgendwo im März/April zu testen, falls etwas während der Fahrt schief gehen sollte und ich gezwungen bin, das motor rechts zu stützen, also viel Physiotherapie und Übungen zu Hause und einfach abwarten.

Warum der XR, weil ich ein bisschen Angst vor diesen Zylindern habe, sie können einen Vorteil, aber auch einen schweren Nachteil bringen. Jetzt möchte ich nur noch meinen Spitznamen in Eddy der Belgier ändern.

Wünsche allen eine gute und sichere Fahrt und immer nach vorne zehen ;-).

Ich hoffe, die Bilder sind nicht zu gruselig, ansonsten bitte anpassen.
Gute Besserung
Physio ist bei Tibiakopfnahen Frakturen enorm wichtig, nicht vernachlässigen und unbedingt schon im Krankenhaus drauf drängen, dass du sie bekommst
 
GS-HEF

GS-HEF

Dabei seit
25.04.2017
Beiträge
796
Ort
Medebach
Modell
R1150GS
Oh Shit, wünsche dir gute Besserung und wie sage ich immer: Kopf hoch auch wenn der Hals dreckig ist.
Das wird schon wieder, alles Gute!
 
Thema:

Kleiner Unfall, große Folgen!

Kleiner Unfall, große Folgen! - Ähnliche Themen

  • Erledigt kleine Touratech Hecktasche

    kleine Touratech Hecktasche: Ich habe hier noch eine kleine Hecktasche von Touratech liegen. Die Maße sind ca. L 27 cm, B 20 - 25 cm, H 6 cm. Die Tasche ist in einem...
  • Erledigt BMW Tankrucksack klein für GS 1250

    BMW Tankrucksack klein für GS 1250: Moin, ich biete meinen kleinen Original-BMW Tankrucksack zum Kauf an. Die vergangene Saison hat gezeigt, dass ich ausschließlich den großen TRS...
  • Erledigt Variotopcase R1300GS, kleiner Schaden rechts, 279€

    Variotopcase R1300GS, kleiner Schaden rechts, 279€: Verkaufe dieses topcase, ist mal nach rechts gefallen, siehe Fotos. Schließzylinder ist nicht drin, kann ich bei Interesse gerne noch besorgen...
  • Suche Wer kann und mag mir ein kleines Teil mit dem 3-Drucker "drucken"?

    Wer kann und mag mir ein kleines Teil mit dem 3-Drucker "drucken"?: Hallo GS-Freunde, wie in der Überschrift schon genannt, bevor ich mich jetzt in die Software reinfuxe und dann ... Ach Gott nee. Hier gibt es doch...
  • Kleiner Unfall auf dem Weg ins Büro!

    Kleiner Unfall auf dem Weg ins Büro!: Hallo, nach dem ich Gestern wieder die Sumos rauf gemacht habe bin ich heute auf dem Weg in die Firma von einem Autofahrer umgefahren worden. Ich...
  • Kleiner Unfall auf dem Weg ins Büro! - Ähnliche Themen

  • Erledigt kleine Touratech Hecktasche

    kleine Touratech Hecktasche: Ich habe hier noch eine kleine Hecktasche von Touratech liegen. Die Maße sind ca. L 27 cm, B 20 - 25 cm, H 6 cm. Die Tasche ist in einem...
  • Erledigt BMW Tankrucksack klein für GS 1250

    BMW Tankrucksack klein für GS 1250: Moin, ich biete meinen kleinen Original-BMW Tankrucksack zum Kauf an. Die vergangene Saison hat gezeigt, dass ich ausschließlich den großen TRS...
  • Erledigt Variotopcase R1300GS, kleiner Schaden rechts, 279€

    Variotopcase R1300GS, kleiner Schaden rechts, 279€: Verkaufe dieses topcase, ist mal nach rechts gefallen, siehe Fotos. Schließzylinder ist nicht drin, kann ich bei Interesse gerne noch besorgen...
  • Suche Wer kann und mag mir ein kleines Teil mit dem 3-Drucker "drucken"?

    Wer kann und mag mir ein kleines Teil mit dem 3-Drucker "drucken"?: Hallo GS-Freunde, wie in der Überschrift schon genannt, bevor ich mich jetzt in die Software reinfuxe und dann ... Ach Gott nee. Hier gibt es doch...
  • Kleiner Unfall auf dem Weg ins Büro!

    Kleiner Unfall auf dem Weg ins Büro!: Hallo, nach dem ich Gestern wieder die Sumos rauf gemacht habe bin ich heute auf dem Weg in die Firma von einem Autofahrer umgefahren worden. Ich...
  • Oben