G
Gast-49644
Gast
Bisher hatte noch keiner eine Schraube locker 
Finde ich gut
Danke für die Rückmeldungen.
Gruß
Ronald
Finde ich gut
Danke für die Rückmeldungen.
Gruß
Ronald


logischSagt der Hersteller - und das ist schon richtig

Knie TEP?geplante Vollprothese

da wird ja auch niGs geschraubtIch fahre mit 2 künstlichen Kniegelenken





Vielen lieben Dank, wobei das mein geringstes Problem ist.Ansonsten wünsche ich dir baldige Besserung bzgl. der lästigen Beeinträchtigungen.

???? Was ist dasKnie TEP?

in der Regel steht TEP für TotalEndoProthese. Es gibt narürlich auch Teil, Schlitten und andere Prothesen.???? Was ist das




Ich könnte mir vorstellen, dass diese volkstümliche Ausdrucksweise von Hilfspersonal stammt, aber nicht von behandelnden Ärzten, die am ehesten verbindliche Auskünfte zur Belastbarkeit geben können sollten.In der Reha wird alles vermieden das Vibrationen erzeugt. Zum Beispiel elektrische Rüttelplatten auf die man sich draufstellt.
Die Schrauben könnten sich lösen.

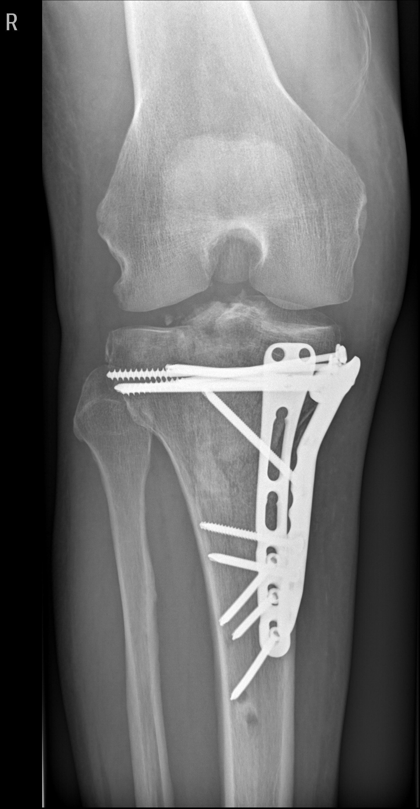
hey Eddy ,dein P...mmelmänchen ist ja auch auf`m BildAlsooooo, 25-04-2021
Anhang anzeigen 567019Anhang anzeigen 567020
15-04-2022
Anhang anzeigen 567021
Schrauben noch fest
12-01-2023
Anhang anzeigen 567023Anhang anzeigen 567024
Schrauben raus, geplante Vollprothese Mitte/Ende Dezember 2023, denkbar geheilt, 04-2024. Dann werden es 3 Jahre gewesen sein![]()


Für diese "Kleinigkeit" hat er sich ja hier schon mal entschuldigt.hey Eddy ,dein P...mmelmänchen ist ja auch auf`m Bild
Tom
wie die"Jungfrau Eddy" allerdings zu den Zwillingen gekommen istBitte, schauen Sie nicht zu sehr ins Detail, der kleine Mann kann auch gesehen werden![]()
hat er uns bis heute verschwiegen.@Eddy der Belgier
Dein Knie ist Dein kleinstes Problem ( der Willi auch), mach Dir mal Gedanken wie die Zwillinge heissen sollen......
Anhang anzeigen 544281
![]()




Warum ruft man nicht einfach bei SEINEM behandelnden Arzt an, um sich aus erster Quelle rückzuversichern???Bisher hatte noch keiner eine Schraube locker
Finde ich gut
Danke für die Rückmeldungen.
Gruß
Ronald


Habe ich gemacht mit dem Ergebnis das ich nun eine Antwort bekommen habe aber keinen so hübschen Thread hier zum schreibenWarum ruft man nicht einfach bei SEINEM behandelnden Arzt an,

